PAST PROJECT

Progression of Esophageal Cancer

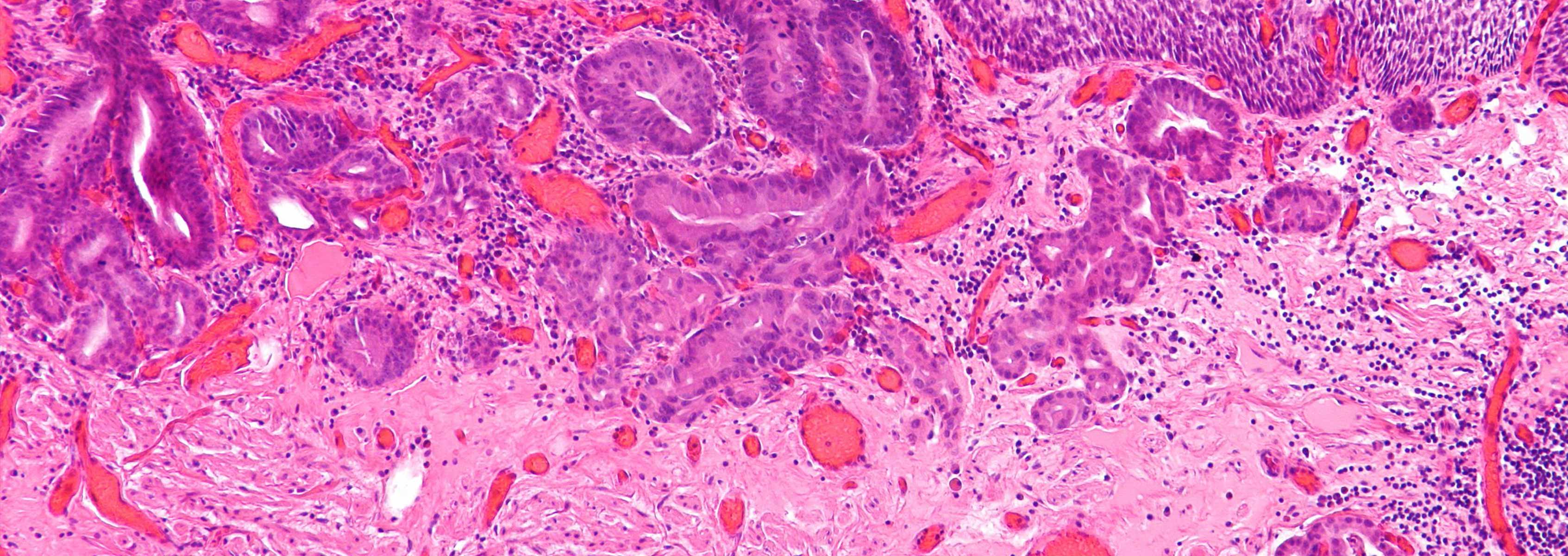
The distal esophagus is an important anatomic locus where gastric acid reflux causes several conditions that can lead to esophageal adenocarcinoma (EA), the incidence of which has increased 6-fold in the U.S. since the 1970s. The goal of this study is to investigate the microbial factors that contribute to the development of EA. We identified two different two types of microbiotas in the distal esophagus.

Working with our collaborator Zhiheng Pei at New York University, we enlarged this study to recruit a few hundred volunteers from whom we obtained samples to investigate the relationships, if any, between the microbiome and disease. The microbiome was investigated through 16S rRNA gene sequencing on the 454 pyrosequencing platform, and with metagenomic sequencing with the Illumina platform.

Publications

Bioinformatics (Oxford, England). 2010-10-15; 26.20: 2631-2.
METAREP: JCVI metagenomics reports--an open source tool for high-performance comparative metagenomics
Goll J, Rusch DB, Tanenbaum DM, Thiagarajan M, Li K, Methé BA, Yooseph S
PMID: 20798169
Applied and environmental microbiology. 2010-06-01; 76.12: 3886-97.
Diversity of 16S rRNA genes within individual prokaryotic genomes
Pei AY, Oberdorf WE, Nossa CW, Agarwal A, Chokshi P, Gerz EA, Jin Z, Lee P, Yang L, Poles M, Brown SM, Sotero S, Desantis T, Brodie E, Nelson K, Pei Z
PMID: 20418441

Funding

Funding for this project was provided through the National Institutes of Health (NIH), NIH Roadmap initiative to investigate the Human Microbiome (HMP).

Collaborator

Zhiheng Pei
NYU School of Medicine

Related

Related Research