26-Mar-2025
Press Release

Researchers design tools to develop vaccines more efficiently for African swine fever virus (ASFV)

The reverse-genetics system developed for ASFV may be adapted for other viruses, including lumpy skin disease, Zika, chikungunya, and Ebola viruses

Rockville, Maryland—March 26, 2024—Researchers from the J. Craig Venter Institute (JCVI), the Friedrich-Loeffler-Institut (FLI), and the International Livestock Research Institute (ILRI) have developed a reverse-genetics system for African swine fever virus (ASFV). This new system will aid researchers in developing vaccines and in studying the pathogenesis and biology of ASFV, a highly contagious, deadly viral disease affecting domesticated and wild pigs, especially prevalent in Africa, Europe, Asia, and the Caribbean. A recent study estimates if ASFV reached the United States it could result in economic losses exceeding $50 billion over a ten-year period.

JCVI Professor Sanjay Vashee, Ph.D., senior author on the paper remarked, “By developing a synthetic genomics-based reverse-genetics system for ASFV, we are not only advancing our understanding of this virus but also creating tools that can be applied to other emerging viral threats. This research has the potential to significantly reduce the economic losses caused by ASFV in the global swine industry, providing much-needed solutions to control and prevent the spread of the disease.”

Healthy pigs at ILRI’s Clinical Research Facility
Healthy pigs at ILRI’s Clinical Research Facility. Image courtesy ILRI.

The reverse-genetic system allows scientists to quickly generate genetically modified versions of ASFV and involves several steps. First, scientists construct synthetic DNA, which is a lab-made version of the virus’s genetic material. Fragments of ASFV are modified and then assembled into full-length genomes in yeast using its recombination machinery. The modified genomes are then transferred to E. coli which makes isolating them in larger amounts possible.

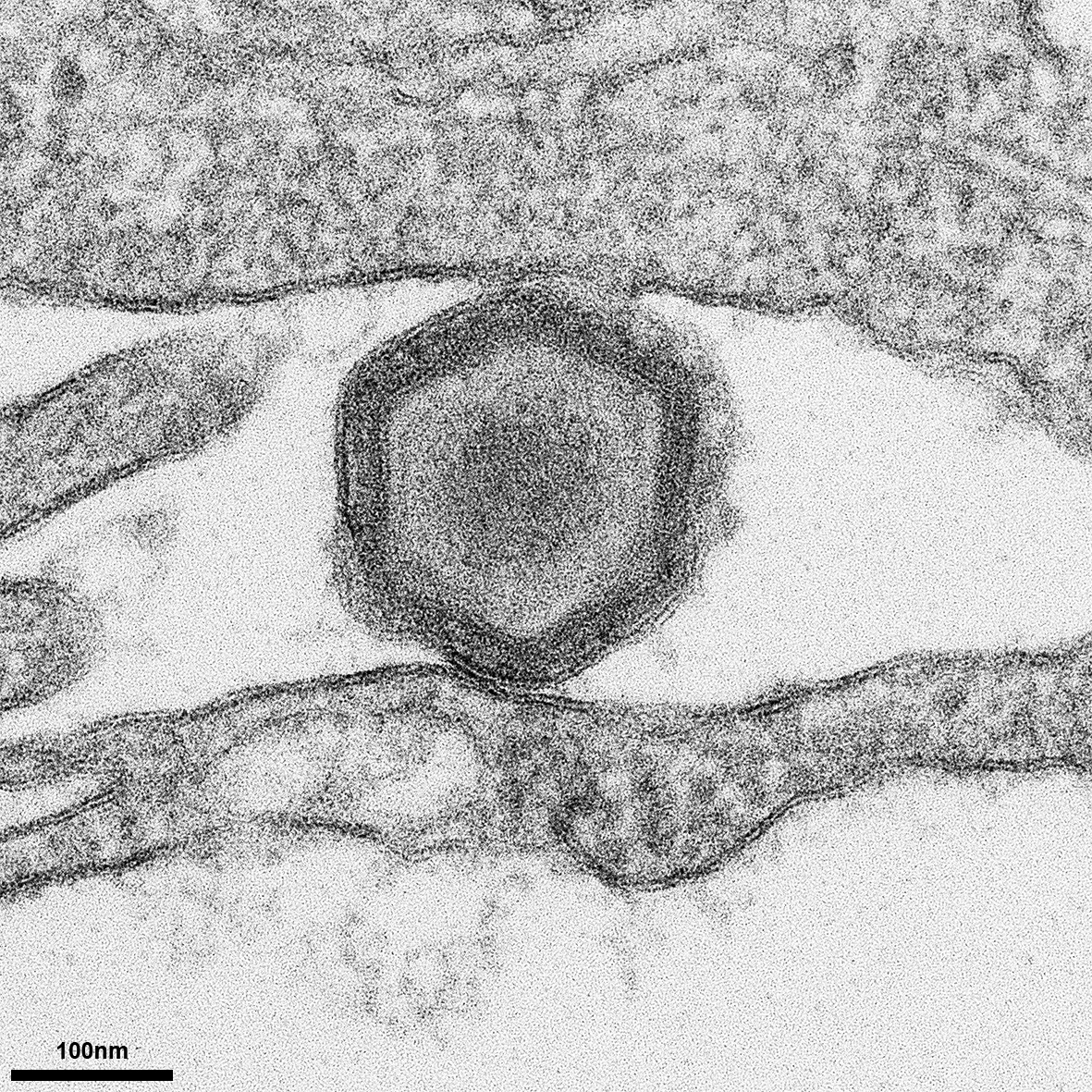
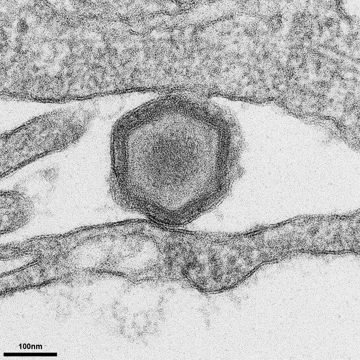
An electron micrograph of an African swine fever virus particle
An electron micrograph of an African swine fever virus particle. Image courtesy Kati Franzke, Friedrich Loeffler Institute.

The synthetic DNA is then transfected (or artificially introduced) into mammalian host cells which are subsequently infected with a self-helper virus. This self-helper virus is an inhibited version of ASFV which has been modified using CRISPR/Cas9 technology, a powerful gene-editing tool that can precisely cut DNA at specific locations. The alterations ensure that the self-helper virus cannot replicate on its own. Despite this inhibition, the self-helper virus still provides the necessary proteins and machinery required for the synthetic DNA to replicate and assemble into new virus particles.

This process results in the production of live recombinant viruses that contain the specific genetic modifications introduced in the synthetic DNA. These recombinant viruses can then be used for further study or vaccine development.

The synthetic genomics-based reverse-genetics system developed for ASFV can be applied to other viruses with non-infectious genomes, offering significant potential for research and vaccine development. For example, it could be applied to lumpy skin disease virus, a double-stranded DNA virus that primarily affects cattle causing significant economic harm.

This methodology could also be adapted for emerging RNA viruses such as Zika, chikungunya, Mayaro, and Ebola viruses, which have caused significant outbreaks and pose serious threats to global health. By leveraging synthetic genomics, researchers can rapidly develop reverse-genetics tools for these and new emerging viruses, facilitating the study of their biology and the creation of effective vaccines and treatments.

In addition to Dr. Vashee, the study team included senior author Lucilla Steinaa, Ph.D. (ILRI) and first authors Walter Fuchs, Dr. rer. nat. (FLI) and Nacyra Assad-Garcia (JCVI). The complete study, “A synthetic genomics-based African swine fever virus engineering platform,” may be found in the journal Science Advances. Funding for this work was provided by the International Development Research Centre (IDRC) Livestock Vaccine Innovation Fund (LVIF), phase I 108514 and phase II 109212.

About J. Craig Venter Institute

The J. Craig Venter Institute (JCVI) is a not-for-profit research institute in Rockville, Maryland and La Jolla, California dedicated to the advancement of the science of genomics; the understanding of its implications for society; and communication of those results to the scientific community, the public, and policymakers. Founded by J. Craig Venter, Ph.D., JCVI is home to approximately 120 scientists and staff with expertise in human and evolutionary biology, genetics, bioinformatics/informatics, information technology, high-throughput DNA sequencing, genomic and environmental policy research, and public education in science and science policy. JCVI is a 501(c)(3) organization. For additional information, please visit www.jcvi.org.

Media Contact

Matthew LaPointe, mlapointe@jcvi.org, 301-795-7918